Google

Web difossombrone.it

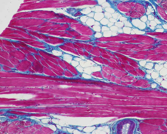
Tessuto muscolare scheletrico - lingua - 10x

lingua

Immagine tratta da appunti di esercitazioni di Istologia - Facoltà di Medicina Veterinaria di Pisa

Sito web consigliato dallo staff www.vet.unipi.it

Torna all'elenco dei tessuti

Questa immagine è protetta dalle Leggi Internazionali di Proprietà.
E' PROIBITA la sua riproduzione totale o parziale, all'interno di qualsiasi mezzo di comunicazione
(cartaceo, elettronico, ecc.) senza l'autorizzazione scritta dell'autore e dello staff.

Torna su

 

Torna alla Home collabora con difossombrone.it
Copyright © Difossombrone.it tutti i diritti sono riservati

Sito internet realizzato da VedaNet